O Que é o Hematoma Subdural Crônico?
O hematoma subdural crônico é o acúmulo de sangue “velho” e liquefeito entre a superfície do cérebro e sua membrana externa, a dura-máter. Diferente dos hematomas agudos, que surgem após grandes traumas, a forma crônica desenvolve-se lentamente ao longo de semanas. É uma condição particularmente comum em idosos, devido à fragilidade natural dos vasos sanguíneos e ao espaço maior criado pela atrofia cerebral fisiológica, permitindo que o sangue se acumule sem causar sintomas imediatos.

Causas e Fatores de Risco
A causa principal costuma ser um trauma craniano leve, muitas vezes tão banal que o paciente ou a família sequer se lembram do ocorrido, como uma batida leve na porta de um armário. O uso de medicamentos anticoagulantes ou antiagregantes plaquetários aumenta significativamente o risco de pequenos sangramentos persistentes. Com o passar dos dias, esse sangue acumulado atrai líquido por osmose, aumentando o volume do hematoma e passando a comprimir o tecido cerebral.
Sintomas que Simulam Outras Doenças
Os sintomas são insidiosos e podem ser confundidos com sinais de demência ou envelhecimento natural. O paciente pode apresentar dores de cabeça persistentes, lentidão de raciocínio, desorientação, alterações de personalidade ou sonolência excessiva. Em estágios mais avançados, surgem sinais de déficit neurológico, como fraqueza em um lado do corpo (hemiparesia), dificuldade na fala ou desequilíbrio acentuado ao caminhar, o que muitas vezes leva a novas quedas.
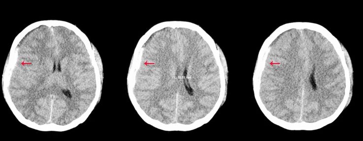
Diagnóstico por Imagem de Urgência
Ao notar alterações cognitivas ou motoras súbitas em um idoso, a investigação neurocirúrgica deve ser imediata. A Tomografia Computadorizada (TC) de crânio é o exame de escolha por ser rápido e eficaz, mostrando o hematoma como uma imagem em formato de “lua crescente” de densidade reduzida. A Ressonância Magnética também pode ser utilizada em casos de dúvida para identificar coleções sanguíneas em diferentes estágios de evolução.
Tratamento: A Drenagem Cirúrgica
Embora hematomas muito pequenos e assintomáticos possam ser acompanhados clinicamente, a maioria exige intervenção cirúrgica para aliviar a pressão intracraniana. O procedimento mais comum é a trepanação (burr holes), onde pequenos orifícios são feitos no crânio para lavar e drenar o sangue liquefeito. É uma cirurgia considerada de baixo risco e com resultados imediatos, sendo comum o paciente apresentar melhora da consciência e da força logo após o despertar.
Pós-Operatório e Recuperação da Autonomia
A recuperação após a drenagem de um hematoma subdural costuma ser gratificante, com a reversão de muitos dos sintomas neurológicos. O paciente necessita de um período curto de observação em UTI neurológica para monitorar a reexpansão cerebral e evitar novas coleções. O acompanhamento pós-operatório foca no controle de fatores de risco, hidratação adequada e, quando necessário, fisioterapia motora para restabelecer a marcha e a independência nas atividades diárias.



