Hidrocefalia de Pressão Normal

O Que é a Hidrocefalia de Pressão Normal (HPN)? A Hidrocefalia de Pressão Normal é uma condição neurológica que afeta […]

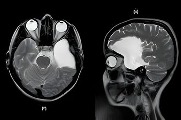
Tumores Cerebrais 

Entendendo os Tumores Cerebrais Um tumor cerebral é o crescimento anormal de células dentro do crânio. Eles podem ser primários,

Rolar para cima