O Que é um Cisto Aracnoideo?
O cisto aracnoideo é uma formação benigna, semelhante a uma bolsa cheia de líquido cerebrospinal, que se desenvolve entre o cérebro ou a medula espinhal e a membrana aracnoide. Na grande maioria dos casos, trata-se de uma condição congênita, originada durante o desenvolvimento fetal. Embora mais raros, também podem surgir secundariamente após traumas ou processos infecciosos no sistema nervoso.

Sintomas: Quando se Preocupar?
Muitas pessoas convivem com esses cistos sem nunca apresentarem sintomas, sendo a descoberta frequentemente acidental em exames de rotina. No entanto, dependendo do tamanho e da localização, o cisto pode comprimir estruturas nervosas adjacentes. Nesses casos, podem surgir dores de cabeça persistentes, tonturas, náuseas, crises convulsivas ou déficits neurológicos, como alterações de equilíbrio e visão.
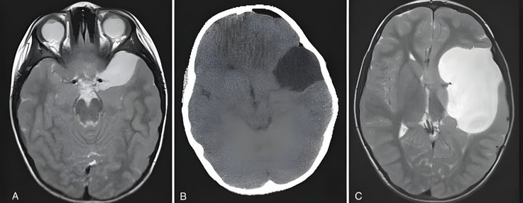
A Importância do Diagnóstico por Imagem
Para confirmar a presença do cisto e descartar outras patologias, o uso de exames de imagem é indispensável. A Ressonância Magnética (RM) é o exame padrão-ouro, fornecendo detalhes precisos sobre a localização e o volume da lesão. A Tomografia Computadorizada também auxilia na avaliação da densidade do cisto e na análise das estruturas ósseas do crânio.
Tratamento Conservador: O Acompanhamento
O diagnóstico de um cisto aracnoideo não significa necessariamente uma cirurgia imediata. Se o cisto for pequeno e não causar sintomas, a conduta indicada é o acompanhamento clínico periódico (“wait and see”). O neurocirurgião monitora a evolução da lesão através de exames de imagem regulares para garantir que ela permaneça estável e não ofereça riscos futuros.
Indicações e Técnicas Cirúrgicas
A cirurgia torna-se necessária quando há sintomas que afetam a qualidade de vida do paciente ou sinais de aumento da pressão intracraniana. As técnicas modernas priorizam a mínima invasão, como a fenestração endoscópica (abertura do cisto para liberar o fluxo do líquido) ou, em casos específicos, a colocação de um sistema de derivação (shunt) para drenar o conteúdo do cisto.
Prognóstico e Recuperação
O prognóstico para pacientes com cisto aracnoideo é muito positivo. A maioria dos casos congênitos permanece estável ao longo da vida. Quando a intervenção cirúrgica é realizada, a recuperação costuma ser favorável, permitindo o retorno às atividades normais. Na NeuroSpine, a decisão terapêutica é sempre tomada com base na segurança e no bem-estar integral do paciente.



